
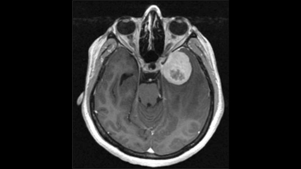
Rochester, Minggu 23 November 2025–VNNMedia- Sebuah studi multi-institusi yang dipimpin oleh Mayo Clinic menunjukkan temuan signifikan yang dapat mengubah cara dokter mendiagnosis dan menangani meningioma, jenis tumor otak yang paling umum
Penelitian yang dipresentasikan pada konferensi Society for Neuro-Oncology (22/11) ini menemukan bahwa tumor yang menunjukkan aktivitas pada gen telomerase reverse transcriptase (TERT) cenderung kambuh lebih cepat, meskipun tampak ringan di bawah mikroskop
Dr. Gelareh Zadeh, ahli bedah saraf di Mayo Clinic dan penulis utama studi, menyatakan bahwa ekspresi TERT yang tinggi sangat berkaitan dengan perkembangan penyakit yang lebih cepat. Hal ini menjadikan TERT sebagai biomarker baru yang menjanjikan untuk mengidentifikasi pasien yang berisiko lebih tinggi terkena penyakit yang lebih agresif.
Meningioma umumnya dianggap jinak dan diklasifikasikan dalam tiga tingkatan berdasarkan pertumbuhan. Namun, penelitian yang menganalisis lebih dari 1.200 meningioma dari tiga negara ini menemukan bahwa tumor positif TERT-meskipun secara resmi berlevel 1- berperilaku layaknya tumor level 2
Menurut Dr. Zadeh, temuan yang telah dipublikasikan di Lancet Oncology ini menunjukkan bahwa pengujian aktivitas TERT dapat membantu dokter memprediksi risiko kekambuhan pasien. Informasi ini sangat penting untuk menawarkan perawatan yang lebih intensif dan pemantauan yang lebih ketat, yang pada akhirnya dapat meningkatkan hasil bagi ribuan pasien meningioma di seluruh dunia
sumber: Mayo Clinic
Baca Berita Menarik Lainnya Di Google News